HOME
|
KONTAKT
|
SITEMAP
Home
Über uns
News
Technik
Galerie
Kontakt
Formulare
Zirkon-Brücke 13-x-11
Sie sind hier:
Bildergalerie
/
Festsitzend
/
Zirkon-Brücke 13-x-11
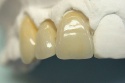
Linerbrand
Rohbrand
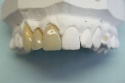
Glanzbrand
Bild 1
Bild 2
Bild 3
Zirkonbrücke